歯科
見逃してはいけない歯と口の危険信号
こんな症状ありませんか?
- 口臭が臭くなった
- ご飯を食べるときに痛そう
- 口を気にしている
- 乳歯が残っている
- 歯並びが悪い
- くしゃみをしている
- 鼻血が出る
- 口から出血している
- 口の中にできものができている
- 目の下が腫れている
- 顎が腫れている
- 目の下から膿の様なものが出ている
- 歯茎が赤い
- 歯茎から出血する
- 歯がぐらついている
- 歯根が見えている
- 歯が欠けてしまった
- 歯が赤くなっている、黒くなっている
- 口内炎がありそうだ
お口のケアの重要性

家族の一員として動物たちが認識されていますが、いまだに歯周病にかかっている動物たちは多くいます。あるデータによると3歳以上の犬猫の80%以上は歯周病といわれ、日本においては約1歳以上の小型犬の90%以上は歯周病であるといわれています。
歯周病を飼い主さんが認識していることが少なく、かなり重症化して来院されることが多いです。日常的に歯を見る習慣をつけていただき、また歯磨きの習慣をつけることが重要です。
歯科用X線検査装置を利用した診断
当院では診断・治療に当たっては必ずすべての歯を歯科用X線検査装置用いて撮影しています。
正確な診断のためには歯科X線検査は必須です。(歯科X線検査を保有する動物病院は全動物病院中10%といわれています)
歯科疾患として多い犬の歯周病や猫の吸収病巣、猫の歯肉口内炎などの診断・治療、そして治療の効果判定のために歯科X線検査は必要です。
検査や治療において、視診や触診はもちろん重要ですが、目に見えない歯根と歯槽骨の状態や把握することは歯科X線検査によって行われます。
歯周病治療

歯科疾患として多い病気に歯周病があります。歯周病とは歯垢中の細菌が原因となって歯肉と歯周組織に炎症を起こす疾患です。
初期の歯周病は歯肉のみに炎症を起こします。これを歯周炎と言います。さらに悪化した場合は歯肉の他にセメント質、歯根膜、歯槽骨など歯周組織にまで炎症が及びます。これを歯周炎と言います。歯肉炎と歯周炎を合わせて歯周病と言います。
歯周病治療においては、全身麻酔下で口腔内検査を実施し、歯垢や歯石の蓄積度、歯肉指数、アタッチメントロスの判断、歯周プロービングを実施しプロービングデプスの測定、根分岐部の判断、動揺度の判断を行い、レントゲン検査を実施し、歯周病の診断と重症度の評価を行います。
その後は、マイクロスコープ(手術用顕微鏡)を用いた拡大視野で超音波スケーラーを用いて縁上のプラーク、歯石の除去を行います。縁下のスケーリングはマグネット式のスケーラーを用いて可能な限り歯周ポケット内の歯石とプラークを除去します。その後、ポリッシングを行います。軽度な歯周病であれば適切な治療後に家庭で毎日のブラッシングを行うことで歯を温存した治療が可能です。
重度な歯周病であれば、歯周外科治療が必要となり、フラップ作成を伴う歯周外科治療を行います。抜歯が必要になる場合はマイクロスコープを用いて、骨切削、抜歯、残根確認、フラップ形成を行います。
当院では、無麻酔歯石除去は行なっておりません
処置は必ず全身麻酔下で実施します。無麻酔歯石除去は行いません。
神経ブロックによる局所麻酔、全身鎮痛薬を効果的に使用し、動物の負担になるべくならないような方法をとります。
高齢で麻酔が怖いという方は一度ご相談ください。一緒に不安を解消していきましょう。

歯石除去前

歯石除去後
歯周基本治療(プロービング、スケーリング、ルートデブライドメント)

歯周ポケットの測定

スケーリング術中

スケーリング風景

ポリッシング
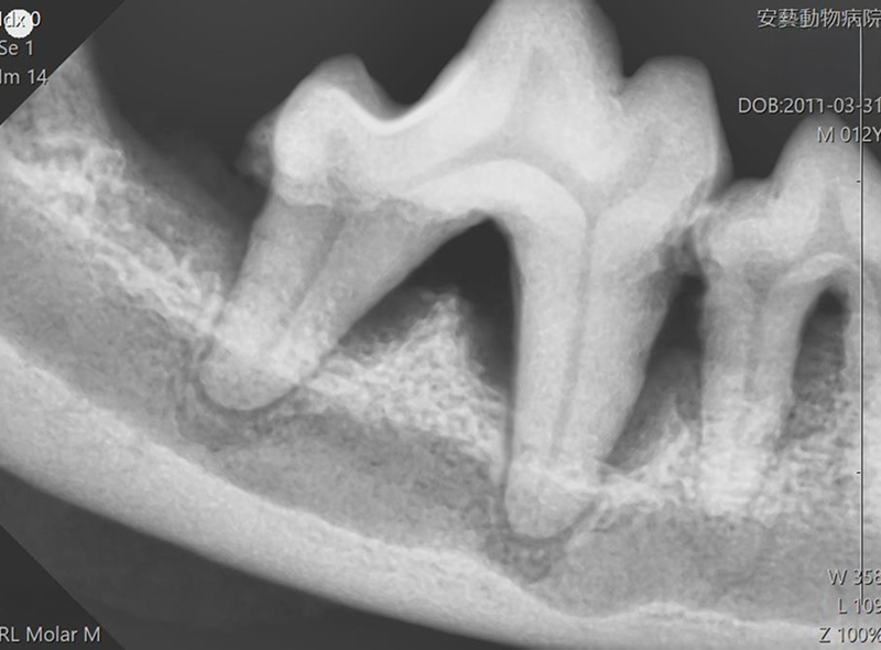
歯周病治療の実際

この画像は治療時の歯科X線画像です。
歯根長(水色矢印)の半分以上の骨欠損像(黄色矢印)が認められるため、ステージ4の重度歯周病です。通常は抜歯を検討する重度な歯周病です。
右の画像は治療半年後のメインテナンス時の歯科X線画像です。
歯槽骨の回復が認められます。
プロケアである当院での治療と、ホームケアである飼い主様の歯磨きにより、歯の温存が可能であった一例です。
下記の画像は、初回治療時の歯科X線画像と3ヶ月後の歯科X線画像です。歯槽骨の回復が認められます。

初回治療後

3か月後
その他の主な歯科・口腔疾患
乳歯遺残
乳歯は生後6ヶ月で脱落し、永久歯が生えてきます。乳歯がその期間を超えて残っていることを乳歯遺残といいます。
乳歯遺残により歯列(歯並び)が悪くなったり、乳歯と永久歯の間に歯垢と歯石が蓄積しやすくなり、歯周病の原因となります。
適切な時期に乳歯抜歯処置を行うことは重要です。
また歯列の乱れは適切な時期に矯正を行うことも必要です。
口鼻瘻管

口腔と鼻腔を隔てている上顎骨は小型犬の場合、約1mm。大型犬の場合でも約2mmの厚さしかありません。
歯周病の進行により歯根周囲の歯槽骨が吸収されてこの部分の上顎骨が破壊されると口腔と鼻腔が繋がってしまいます。これを口鼻瘻管と言います。
くしゃみをする。鼻血が出る。鼻から膿が出るなどの症状がでます。
診断はプローブによる瘻管の確認、注水試験、歯科X線検査で行います。瘻管が形成されている場合は治療法として抜歯が選択されます。その後、粘膜フラップ術を行います。
これは犬歯を抜歯した後に病変部と鼻腔内が繋がってしまっている写真です。
外歯瘻、内歯瘻

プローブの先端部分が内歯瘻です
歯周病の進行により歯根周囲の歯槽骨が吸収されて瘻管をつくり、その瘻管が皮膚に形成された状態を外歯瘻といいます。
またその瘻管が歯肉に形成された場合を内歯瘻といいます。外歯瘻の原因となる歯は上顎第四前臼歯であることが多く、目の下に瘻管を形成することがあります。
治療法としては通常は抜歯が選択されます。
破折

プローブで示しているのが破折し、露髄した歯
奥歯で硬いものを噛むことで歯が割れてしまいます。歯髄が露出し、歯の根元に感染を起こすことがあります(根尖膿瘍といいます)
治療には根管治療や抜歯を行う必要があります。(根管治療はかなり高度な専門技術が必要なため専門家をご紹介いたします。抜歯術は当院で可能です)
猫の尾側口内炎

猫の尾側口内炎の写真
歯肉口内炎に罹ってしまった猫は口を痛がり食事を摂ることがだんだんとできなくなってきます。歯肉、歯槽粘膜、頬粘膜、舌に限局性、またはびまん性の炎症を引き起こします。重度になるとびらん、潰瘍を形成します。
歯垢、歯石、自身の歯などに過剰な免疫反応を引き起こしてしまうことがこの疾患の原因だと考えられています。根治的治療は全臼歯抜歯または全顎抜歯です。
内科療法により根治する可能性は低いと考えられるため早期の外科手術をおすすめしています。また治療の際には疼痛緩和を目的としてレーザー照射も実施しています。
ご自宅での口腔ケア(ホームケア)

歯周病予防のためのホームケアや歯科治療後のホームケアは重要です。
プラークは2~3日で石灰沈着を起こし、歯石になっていきます。歯石が付着することでプラークがより一層付着しやすくなり、歯周病を進行させてしまいます。(歯石自体が歯周病の原因というわけではありません)
歯周病予防のためには病院での歯周病治療のみでなく、定期的なホームケアが重要です。
子犬、子猫のときから歯磨きの習慣を身につけておくといいでしょう。まずは指で歯に触れさせることから始めていきましょう。その際に褒めたり、ご褒美をあげることで歯を触らせることに抵抗がなくなります。次に指に装着するタイプのデンタルケアグッズを使用してみましょう。慣れてきたら歯ブラシを使用してみましょう。
当院でも様々なデンタルケアグッズをご案内しております。お気軽にご相談ください。



